オフィスホワイトニング 料金 ¥11,000
『最近歯が黄ばんできた・・・』『たばこのヤニ汚れが気になる・・・』
こんなお悩みをお持ちの方はホワイトニングで白く美しい歯を取り戻しましょう。
歯の白さは見た目の印象に大きくかかわる重要な部分です。
新宿パークタワー歯科では、歯を削ったり傷つけることなく、からだに優しい最新のホワイトニング材で歯そのものを白くすることが可能です。歯と口元をトータル的に美しくするプランをご提案いたします。
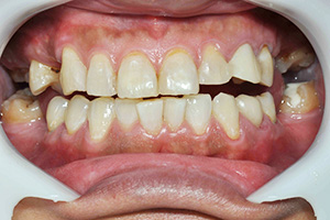
| オフィスホワイトニング施術前 | オフィスホワイトニング施術後 |
|---|---|
![]() |
![]() |

気になる歯の色、ホワイトニングで白くしましょう
歯は様々な理由で黄ばみや黒住ができてしまいます。喫煙をする方やコーヒー・ワインをよく飲まれる方の中には、歯の色が気になる方も多いでしょう。ホワイトニングはこうした歯の着色汚れを落とし、さらに輝くような白さを手に入れる方法です。歯の表面にホワイトニング材を塗布し一定時間放置、もしくは特殊な光を照射することによって歯を白くすることができます。薬剤は安全なものを使用するので、トラブルなどの心配はいりません。
安全で白さが長持ちするポリリンプラチナホワイトニング
当院では、従来のホワイトニングよりも安全で白さが長持ちする『ポリリンプラチナホワイトニング』を使用しています。
ポリリンプラチナホワイトニングとは?
ポリリンプラチナホワイトニングとはポリリン酸Naという成分を使ったホワイトニングの施術方法です。 このポリリン酸Naは食品添加物としても認められている成分のため、その安全性も保証されています。 ポリリン3Dホワイトニングはこのポリリン酸Naを使って歯の汚れを落とし、コーティング(着色や歯石の沈着防止)するため痛みもなく着色しにくく、透明感が残ります。
従来のホワイトニングとの比較
| 従来のホワイトニング | ★ ポリリンホワイトニング ★ | |
|---|---|---|
| 白さ | 薬液によって着色するので透明感のない白さになります。 | プラチナナノコロイドの効果でキラキラ輝く自然な白さになります。 |
| 痛み | 知覚過敏になることもあります。痛みを感じやすい。 | 痛みを感じることは少ないです。 |
| 色戻り | 歯をコーティングしていないので施術直後は特に着色しやすいです。 | 分割ポリリン酸が歯をコーティングし汚れも付きづらくなり透明感のある白さが長持ちします。 |
| 保護力 | ホワイトニング剤を歯の表面に塗り色素を分解します。歯にダメージが残ります。 | ポリリンコーティングにより、歯を傷つけにくく、歯の表面もコーティングされ歯質が強化されます。 |
| お食事 | カレー・コーヒー・ワインなど施術直後は特に食事制限があります。 | 施術直後でもまったく食事制限は必要ありません。 |
| 施術時間 | 2時間程度 | 1時間程度 |
最新の治療例
| Before | After |
|---|---|
![]() |
![]() |
| Before | After |
|---|---|
![]() |
![]() |
| Before | After |
|---|---|
![]() |
![]() |
| Before | After |
|---|---|
![]() |
![]() |
| Before | After |
|---|---|
![]() |
![]() |
実際の治療例(ホワイトニング)

治療のステップ
丁寧に説明し、ご納得いただいてから最適な治療をご提案いたします。
患者様にベストなホワイトニングを。
最近、当院では、虫歯の治療にいらして、ホワイトニングを希望するという方が増えてきています。
それほどに、白い歯に対する皆様の関心が高くなっているということでしょう。
施術の前にしっかりとご説明をし、患者様にとって最適な方法をご提案します。
STEP1. カウンセリング
歯の状態を確認させていただきながら、生活のペースやお時間の都合を考えながら、ホワイトニングの治療計画を立てます。
ご希望や目的を伺い、どのホワイトニング技術を使うのがベストなのかを、分かりやすくご説明します。しっかりとご納得いただいた上で、治療を開始します。
STEP2 視診
口腔内カメラを使って、患者様と一緒に映像を見ながら診察します。
虫歯の状態や、これまでの治療跡などを確認しながら、ホワイトニングに必要な治療回数や方法を検討します。
メニューを決定して、施術に入ります。
※ 必要に応じてレントゲン撮影を行う場合がございます。
STEP3. 施術
ホワイトニングの前にPMTCというクリーニングを行い、歯垢や歯石、色素の沈着を取り除くことでホワイトニングの効果がより期待できます。⇒ PMTCとは
オフィスホワイトニングの流れ
| STEP1 | STEP2 | STEP3 | STEP4 | STEP5 |
|---|---|---|---|---|
![]() |
![]() |
![]() |
![]() |
![]() |
![]() |
![]() |
![]() |
![]() |
![]() |
| 歯のクリーニングをします | 保護剤を歯ぐきに塗布します | 歯面にホワイトニング剤を塗布します | 特殊な光を照射します | お口の中を洗浄して終了です |
| 金額 | ¥11,000 |
|---|
※表示価格は税込みです。
※施術可能か診査(レントゲン等)を行う場合がございます。(別途+¥3000前後)
ホームホワイトニング料金 ¥27,500
ウォーキングブリーチ料金 ¥11,000
(※5回分の処置を含む)
ウォーキングブリーチとは、歯の神経(歯髄)の治療を行った歯に対して行うホワイトニング方法です。歯の中に歯を白くする薬剤を何回か入れ、変色した歯を白くする方法です。
※表示価格は税込みです。
| 施術前 | オフィスホワイトニング施術前 | ウォーキングブリーチ施術後 |
|---|---|---|
![]() |
![]() |
![]() |
ガムピーリング料金 ¥5,500
ガムピーリングは、タバコなどで着色した歯茎に特定の薬剤を塗布し、歯茎の表面をピーリングします。治療直後は、歯茎が白く変色し、2~3日後に歯茎を覆う膜がはがれ、1~2週間ほどで、ピンクの歯茎に変わります。個人差はありますが、1回~数回の施術が必要です。
※表示価格は税込みです。
| 施術前 | ガムピーリング施術中 | 施術後 |
|---|---|---|
![]() |
![]() |
![]() |
実際の治療例(ガムピーリング)


治療費
| オフィスホワイトニング | |
|---|---|
| ホームホワイトング | |
| ウォーキングブリーチ | |
| 歯肉ピーリング |
※表示価格は税込みです。
※治療費伴うリスク
一次的に知覚過敏が起こることがあります。














































