新宿・部分矯正外来
新宿地域では唯一の部分矯正外来
全体的に、ではなく前歯の歯並びだけを治したい、ちょっとした前歯のデコボコや隙間を治したい、といった方には、部分矯正をお勧めしています。場合によっては2~3本の歯だけの部分矯正で、劇的に奇麗になることもあります。
部分矯正は全体的に行う矯正治療よりも短い期間で、費用も安く行うことができます。
お気軽にご相談下さい。
部分矯正の症例
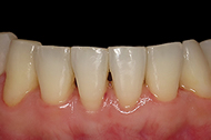
部分矯正 症例:1
![]() |
治療前の写真です。 |
| 術前 | 術中 | 術後 |
|---|---|---|
![]() |
![]() |
![]() |
![]() |
![]() |
![]() |
部分矯正 症例:2
| 術前 | 術中 | 術後 |
|---|---|---|
![]() |
![]() |
![]() |
![]() |
![]() |
![]() |
部分矯正 症例:3
| 術前 | 術中 |
|---|---|
![]() |
![]() |
![]() |
![]() |
部分矯正 症例:4
| 術前 | 術中 | 術後 |
|---|---|---|
![]() |
![]() |
![]() |
| 術前 | 術中 |
|---|---|
![]() |
![]() |
部分矯正 症例:5
| 術前 | 術後 |
|---|---|
![]() |
![]() |
![]() |
![]() |
部分矯正 症例:6
| 術前 | 術中 | 術後 |
|---|---|---|
![]() |
![]() |
![]() |
![]() |
![]() |
![]() |
部分矯正 症例:7
| 術前 | 術中 | 術後 |
|---|---|---|
![]() |
![]() |
![]() |
![]() |
![]() |
![]() |
部分矯正 症例:8
| 術前 | 術中 | 術後 |
|---|---|---|
![]() |
![]() |
![]() |
![]() |
![]() |
![]() |
部分矯正 症例:9
| 術前 | 術中 | 術後 |
|---|---|---|
![]() |
![]() |
![]() |
![]() |
![]() |
![]() |
![]() |
![]() |
![]() |
部分矯正 症例:10
| 術前 | 術中 | 術後 |
|---|---|---|
![]() |
![]() |
![]() |
![]() |
![]() |
![]() |
部分矯正 症例:11
| 術前 | 術中 | 術後 |
|---|---|---|
![]() |
![]() |
![]() |
![]() |
![]() |
![]() |
部分矯正 症例:12
| 術前 | 術中 | 術後 |
|---|---|---|
![]() |
![]() |
![]() |
治療費
| 部分矯正 | 110,000円〜440,000円 その他調整代がかかります |
|---|---|
| 矯正終了後の後戻りを 防ぐ為のマウスピース |
11,000円〜33,000円 |
治療に伴うリスク
矯正装置除去後に後戻りすることがあります。保定装置を決められた期間確実に装着することなど、定期的検診が必要です。






















































































